頭 痛 治 療

 

    頭痛治療について

 

頭痛はおおまかに次のような3種類があります。症状が入り混じっていることもあり判別に困ることもあります。

 

片頭痛                                                                        

 

ときどき起こる頭痛 で頭痛のない時はケロッといていますが頭痛が始まると4時間から3日間は続き症状は片側の頭痛でズキズキと波打つように痛みを感じ、体を動かすと頭痛がひどくなります。また吐き気や嘔吐、胃痛を伴うこともあり光や音に過敏になり、周囲がうるさく感じられたり、急に明るい所に出ると痛みがさらにひどくなります。

 

原因は頭の中の血管が拡張してその周辺に炎症が広がることで、脈打つような痛みが出ます。

 

 緊張型頭痛                                                                                                                                      

 

頭が締め付られるような痛みが毎日続き、やたら首筋や肩がこりフワフワしためまいがあったりします。体を動かすことやお風呂に入ることで症状が軽減します。長時間のデスクワークや不自然な姿勢を続けることで血行が悪く、筋肉が固くなることで起こります。

 

緊張型頭痛は肩のコリ、首のコリによって起こりますが自分で肩や首をもんだりすると楽になると考えがちですが意外と症状は重く、簡単には楽にならないことが多いです。

 

原因は人間関係の精神的ストレスや長時間のデスクワークなどの不自然な姿勢を続けることによる身体的ストレスで頸椎の異常や首、肩の筋肉収縮、血行がわるくなり症状が現れます。

 

群発頭痛                                                                    

 

一方の目の奥がえぐられるような鋭い強い痛みが走るのが特徴です。痛む側の目が充血し、その側の目だけから涙が出ます。眠っていても痛みで目が覚めじっとしていられないほどの痛みです。突然の痛みで1~2時間続きます。1~2か月間毎日起こります。

 

原因は明らかにされていませんが目のすぐ後ろにある太い血管が拡張し、その周囲に炎症が生じて神経を刺激する為に起こると考えられています。

 

頭痛を解消するための施術の概要

 

1 首の圧迫痛及び筋肉のコリの除去

2 ストレートネックの改善

3 首の施術による自律神経の改善

4 頭蓋縫合の矯正による脳脊髄液の循環

 

  この4つの施術で頭痛は治癒します

 

首の圧迫痛及び首のコリ

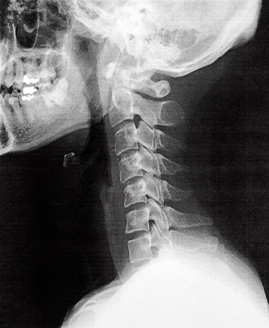
頭痛は頸椎に異常があり手指で圧迫すると痛みがあることがほとんどですが、頸椎の2番と3番の圧迫痛を消去すると頭痛が治ります。交通事故のむちうち症の場合は特に著明です。また首の筋肉も緊張し固くなっています。頭蓋骨と首の境目が凝っていることがほとんどです。

赤い部分が頸椎の2番と3番の境目です。頭痛が発症している場合はこの部分を指で押すと痛みがあり、圧迫痛を除去すると回復に向かい頭痛は治癒します。

ストレートネック

デスクワーク、携帯やパソコンの見過ぎなどによって猫背になり頸椎に異常をきたします。頸椎は正常では湾曲していますが猫背により頸椎が伸展(ストレートネック)して異常になり約5㎏以上の頭を四六時中、首で支えることになり首の筋肉は緊張し固くなります。

頸椎は正常であれば湾曲していますが猫背の姿勢が長時間になると頸椎がストレートネック傾向になり首の筋肉がこり頭痛の原因になります。

首の自律神経

首には多くの自律神経が集まっていて筋肉の緊張によって神経が圧迫され異常になります。自律神経は交感神経と副交感神経があり特に副交感神経が正常に働かないと血液の流れが悪く、筋肉が固くなり組織の酸欠状態が起きて、いたみ物質が現れ痛みが発生します。

たくさんの交感神経、副交感神経が頸椎の異常や筋肉のコリによって圧迫され頭痛の原因になります。

頭蓋縫合の矯正

頭蓋骨内には脳脊髄液があり頭から背骨の尾骨まで循環しています。体の健康を保つためにはこの循環が活発にめぐることが重要で末梢神経まで影響を与えます。頭蓋縫合矯正によって脳内の老廃物も排除することができ脳も正常にはたらかせることができます。頭蓋縫合は頭痛にとても有効です。

 

 

頭蓋縫合を矯正すると頭痛が和らぎます。

頭痛治療の施術の流れ

首のマッサージと頸椎の矯正

 

患者さんをベットにうつ伏せにして筋肉のこり、頸椎の状態を触診します。

頭蓋骨と首の付け根の後頭骨下筋と首と肩の僧帽筋を念入りにマッサージします。  

次にストレートネック傾向にある頸椎を矯正することで痛みを軽減します。

頸椎の1番の矯正は重要です。頸椎を深く屈曲できるようになると頸椎が正常に動きます。矯正には患者さんの姿勢が大事で脊柱起立筋、特に大腰筋を緩めながら施術すると効果的です。                                                  施術はほとんど痛みはありません。

筋肉のコリがゆるむと副交感神経が正常に働き、脳に十分に血液が補給され頭痛が緩和されます。

片頭痛の症状が出ている場合はマッサージをすると症状が強くなる場合が多く、患者の症状の程度を考え軽いマッサージをします。

頸椎の2番と3番の圧痛が取れると頭痛は治ることがほとんどです。

 

 

 

頭のマッサージと頭蓋縫合の矯正

頭蓋骨内に脳脊椎髄液があり脊髄の中を通って循環しています。脊髄から枝分かれした抹消神経まで影響を与えます。

頭蓋骨縫合を矯正すると脳脊髄液が活発に循環します。またマッサージもとても有効です。

また脳内の老廃物を排除する作用もあります。

この脳脊髄液が正常に循環することが頭痛に対してとても重要です。

施術後の状態を長期間維持する

一般に施術した後はとても楽になりますがその後の日常生活で症状が戻ることが多いですが当院では矯正した頸椎や筋肉を長時間維持する方法があり短期間に頭痛を治癒させることができます。

また症状によっては患者さんに毎日かんたんな頭痛体操をしてもらいます。この体操は頭痛を早く治癒させる為に重要で再発予防にも効果的です。

首の圧迫痛が緩解または消失すると頭痛は治癒します。

 

 

頭痛治療の施術料金

頭痛治療 (  首のマッサージ+頭部マッサージ+頭痛体操指導) 4,400円

頭痛治療メニューの流れ

お問合せ

頭痛治療は完全予約制ですので頭痛でお悩みの方は頭痛堂(090-6682-1821)にお電話、メール(toumei0114_96@air.ocn,jp)に連絡してください。

またお悩みだけの質問でもよろしいのでお知らせください。

予約の場合はこちらからお客様と打ち合わせして予約の時間を決めますのでよろしくお願いします。

 

当院の受付

当院に来院した際に受付で名前をお知らせください。

患者様に現在の頭痛の状態、過去歴などを問診表に記入してもらいます。

簡単な質問ですので時間はかかりません。

 

 

患者様に問診表から聞き取り

問診票記入後、患者様から問診票を参考に聞き取り、どのようなタイプの頭痛か、患者様の体質を判断します。

ベットに横になり触診をします。

患者様がベットに横になり頸椎の状態、首の筋肉の状態を触診して頭痛治療の施術が始まります。

施術時間は約25分です。

施術内容は「頭痛治療の施術の流れをご覧ください。

施術後の予定をお知らせします。

施術が終わり今後の治療予定をお知らせします。

また頭痛体操を毎日行ってもらい早期治癒を目指します。

何か疑問がありましたら遠慮なく電話やメールで質問してください。

頭痛治療の施術を受けられた方のお声

生理時の頭痛解消のために来院

大仙市 田口様 (40代)

 

 

令和4年12月17日 来院

症状 

毎月2回くらいの頭痛があり特に生理時に頭痛が発症し頭部の両側面と後頭部と首の境目に痛みがあり緊張型頭痛でした。

痛みが強くなると仕事に集中できなくて困っていました。

 

施術

頸部の矯正、マッサージにより頸部の自律神経を回復させ、頭蓋縫合の矯正、マッサージにより脳脊髄液を循環させることによって頭痛を軽減し、首に軽いテーピングをすることによって施術した治療効果を長時間維持させる。

 

施術後の頭痛体操の指導

施術が終わり患者に簡単な頭痛体操を指導して再発防止に努めさせる。

 

 

1回の施術で頭痛ほとんど消退し現在に至る。

 

 

※ 田口様からのお手紙です

 

 

小学校の時から頭痛に悩まされ月1~2回の頭痛を治癒させたい

 仙北市 佐々木温子様(30代

 

小学校の時からずっと月1~2回の頭痛に悩まされ現在に至っていました。病院では脳に異常がなくお薬を処方され、頭痛時に服用して頭痛を緩和していました。その生活を30年以上続けていました。

 

令和4年12月7日 来院

 

症状

左側頭部及び左目眉毛部に頭痛の症状が現れドクンドクンやズキンズキンと感じる痛みが徐々に続き、強くなると音に過敏になり静かなところで静養しないと耐えられない状態であった。また吐き気や嘔吐を伴うこともありました。

 

施術

頸椎の2、3番目に圧痛があり、肩がとても凝っていましたので頸椎の矯正、頭蓋縫合の矯正、僧帽筋をマッサージして、自律神経の回復するための施術をしました。

 

施術後の頭痛体操指導

患者は片頭痛でしたので再発予防のために片頭痛体操を指導しました。毎日体操を行うことで頭痛から解放されます。

 

1回の施術で頭痛が解消されました。

 

※佐々木温子様からのお手紙です

 

,

いかがでしょうか。

このように、当院の頭痛治療なら、片頭痛、緊張型頭痛、群発頭痛からの解消が実現できます。

頭痛治療に興味をお持ちの方は、ぜひお気軽にお問合せ・ご相談ください。

 

お気軽にお問合せ・ご相談ください

頭痛堂

090-6682-1821
受付時間
7:00~19:00
定休日
日曜・祝日

三浦整骨院

0187-88-1821
受付時間
 7:00~19:00
定休日
日曜・祝日※営業する場合は午前中

新着情報・お知らせ

2023/2/17
ホームページを公開しました
2022/10/14
「施術案内」ページを更新しました
2022/10/13
「アクセス」ページを作成しました
パソコン|モバイル
ページトップに戻る